Atualidade

Insólito: Bebé nasce “grávida” de gémeos

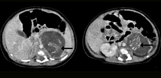
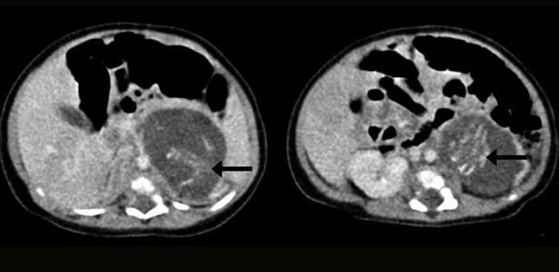
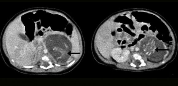
Pode parecer mentira, mas é verdade. Uma recém-nascida de três semanas foi submetida a uma cirurgia para retirar dois pequenos fetos com idade entre oito e dez semanas, que estavam localizados no seu ventre. Este caso invulgar aconteceu em 2010, mas só agora foi divulgado na revista científica “Hong Kong Medical Journal”. De início, os médicos pensaram que a bebé tivesse nascido com um tumor.

Através de ecografias, os médicos conseguiram verificar que os fetos já tinham braços, pernas, costelas, coluna vertebral e intestinos formados. Um tinha 14,2 gramas e o outro 9,3 – cada um com o seu cordão umbilical.

Esta condição, cuja causa é desconhecida, chama-se foetus in fetu (feto dentro de feto, em tradução livre) e ocorre em um a cada 500 mil nascimentos. Menos de 200 casos como este foram registados no mundo.

A cirurgia decorreu sem problemas e a bebé deixou o hospital oito dias depois.

“Era impossível detetar esta condição na ecografia durante a gravidez, uma vez que os embriões eram muito pequenos”, afirmou o ginecologista Yu Kai-man. “Uma vez que seria impossível que o bebé tivesse engravidado na barriga da mãe, está claro que a fertilização dos dois fetos foi feita no momento da conceção, pelos pais da criança, o que pode ser chamado de gravidez múltipla”, concluiu o médico responsável pelo caso.

bebe gravida